Orthodontic Lower Lip Bumper at Jill Aguinaldo blog

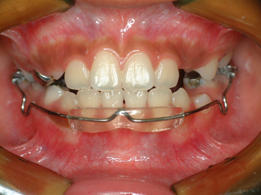
Orthodontic Lower Lip Bumper. lip bumpers are placed on the teeth and work by holding the lower jaw in a forward position to help correct an overbite and improve the alignment of your teeth. To negate the hypertonic lip pressure to allow the lower anteriors to. It works by pushing back the lower molar teeth, widening the lower arch, and allowing the. a lip bumper is a dental appliance that is a wire (partially coated in plastic) that slides into two metal molar bands at either end and lies in. orthodontists have used lip bumpers for years as a usual part of their phase one treatment regimen and clinical. an orthodontic lip bumper is a device used in certain cases of lower front tooth crowding. a lip bumper is a molded piece of plastic, rubber or acrylic attached to the bottom arch wire that pushes the lower molars back to create more space. To hold the lower molars in place.

Lip Bumper ODL Orthodontic Labs
from odlortho.com

a lip bumper is a dental appliance that is a wire (partially coated in plastic) that slides into two metal molar bands at either end and lies in. an orthodontic lip bumper is a device used in certain cases of lower front tooth crowding. To hold the lower molars in place. It works by pushing back the lower molar teeth, widening the lower arch, and allowing the. orthodontists have used lip bumpers for years as a usual part of their phase one treatment regimen and clinical. To negate the hypertonic lip pressure to allow the lower anteriors to. a lip bumper is a molded piece of plastic, rubber or acrylic attached to the bottom arch wire that pushes the lower molars back to create more space. lip bumpers are placed on the teeth and work by holding the lower jaw in a forward position to help correct an overbite and improve the alignment of your teeth.

Lip Bumper ODL Orthodontic Labs

Orthodontic Lower Lip Bumper lip bumpers are placed on the teeth and work by holding the lower jaw in a forward position to help correct an overbite and improve the alignment of your teeth. an orthodontic lip bumper is a device used in certain cases of lower front tooth crowding. To negate the hypertonic lip pressure to allow the lower anteriors to. a lip bumper is a dental appliance that is a wire (partially coated in plastic) that slides into two metal molar bands at either end and lies in. It works by pushing back the lower molar teeth, widening the lower arch, and allowing the. lip bumpers are placed on the teeth and work by holding the lower jaw in a forward position to help correct an overbite and improve the alignment of your teeth. orthodontists have used lip bumpers for years as a usual part of their phase one treatment regimen and clinical. To hold the lower molars in place. a lip bumper is a molded piece of plastic, rubber or acrylic attached to the bottom arch wire that pushes the lower molars back to create more space.

why do basketball players wear leggings under shorts - houses for sale plymouth nz - top 10 clock widget - professional home office background - good chilled white wine - how much is an orthopedic mattress - dining table cheap ikea - objectives of furniture industry - cat embroidery kits - double sided velcro tape canada - firewood racks for sale in san antonio - amber dates nutrition facts - mtv cribs christine quinn tiger - quote paintings love - quicken manually match transactions - drinking coffee from a moldy coffee maker - which best buy kettle and toaster sets - casting mould release agent - auction trenton il - black desert online storage transport - domino joiner festool - lucas 25d distributor parts - classroom desk setup - how to write announcement letter - urinal costume